Veröffentlicht in Alles mögliche

Öfter mal was Neues …

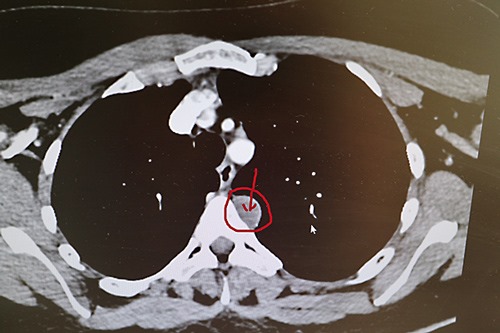
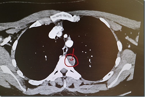
Muss sich mein Körper gedacht haben. Die Lymphknoten am Schulterblatt sind harmlos und unauffällig, aber als Zufallsbefund wurde “subpleural im Oberlappen links eine 14×22 mm messende Läsion” gefunden. Differentialdiagnostisch ist ein Schwannom (was für ein Wort) von BWK 4 zu denken und ein MRT der BWS wird empfohlen. Na denn. Termin hab ich in 4,5 Wochen, in Varel haben sie mir schon vor der Frage was denn gemacht werden muss gesagt, das sie im August sind terminlich.

Auf meinen BWS-Bildern von 2016 ist nichts zu sehen, aber ich will morgen mal fragen, ob letztes Jahr nicht ein MRT der BWS gemacht wurde. Ich weiß wohl noch von HWS und Kopf letztes Jahr, aber bei der BWS bin ich mir unsicher.

 

10062021
Heute gelernt: da MRT- und CT-Bilder von unten aufgenommen werden, ist links rechts und rechts links. Hier also: Läsion an BWK 4 auf meiner linken Seite, die da eindeutig nicht hin gehört.