Veröffentlicht in Alles mögliche

Wieder zu Hause …

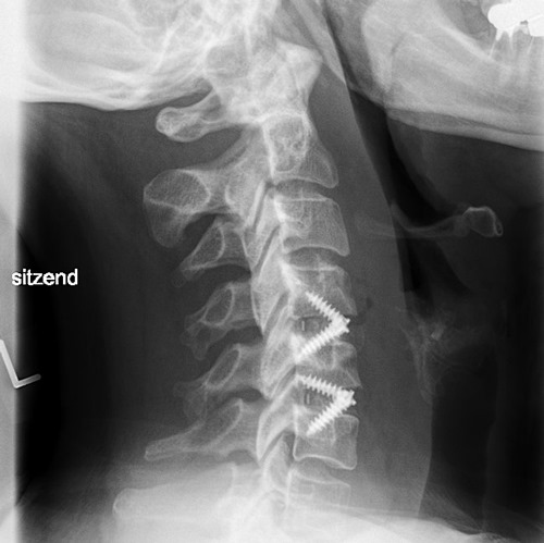
… bin ich. Im Krankenhaus herrschte absolute Bettennot und alles, was irgendwie nach Hause konnte, wurde heute nach Hause entlassen. Also auch ich. Im Gepäck Arztbrief, Krankmeldung bis nächsten Freitag (die dürfen nur eine Woche nach Krankenhaus) und Termin für den Kontrolltermin am 18.1.24. Bis dahin: immer ruhig mit den jungen Pferden. Auf meinen Röntgenbildern habe ich dann auch erst zu Hause gesehen, das die Cages doch mit Schrauben fixiert worden sind. Gibt mir persönlich ein wenig mehr Sicherheit Smiley.

 

17112023

Autor:

Bücherwurm, Süßigkeitenjunkie, Mutter, Ehefrau, nicht unbedingt in dieser Reihenfolge ;)

Schreibe einen Kommentar

Deine E-Mail-Adresse wird nicht veröffentlicht. Erforderliche Felder sind mit * markiert